Omyl XI - Zapomenuté aneurysma ´
Je středa a sedíme v malé posluchárně demonstrační místnosti radiologické kliniky, jak velí zvyk. Za katedrou jako ve škole zaujmul místo externí expert - profesor z univerzitní kliniky a odborník na radiointervenční zákroky. Jsou prezentovány jen ty nejzajímavější a sporné případy. Otevřené otázky, nejasné nálezy. Anebo je třeba důležité rozhodnutí a chceme vyslechnout profesův názor.
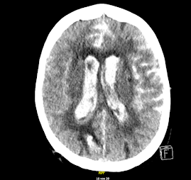
"Vidíme rozsáhlé subarachnoidální krvácení s provalením do mozkových komor", shrnuje profesor radiologie to, je nepřehlédnutelné. "Zdrojem tohoto krvácení je velké aneurysma při rozdvojení bazilární tepny." Pak se objeví další obrázek, starší. "Tady je CT - obrázek z roku 2018. To aneurysma je tam vidět ve stejném rozsahu."
Ano, v roce 2018 měla paní lehkou cévní příhodu. Mrtvici a byla kompletně vyšetřena. Včetně CT-angiografie, zobrazení cév, které tuhle výduť odhalilo.
Co je aneurysma? Zjednodušeně - ve stěne mozkové tepny se může tvořit zeslabené místo. Protože se mozkové tepny nacházejí ve víceméně volném prostoru tzv. subarachnoidální dutiny, jsou vlastně volně uložené a plavou v mozkomíšním moku. Pokud je porucha ve stěně, začne se taková malá tepna chovat jako hadice s odřenou stěnou - zeslabené místo se začne nadouvat jako bublina. Pak začnou platit fyzikální zákony jako Bernoulliho rovnice, která říká, že ve výduti se zpomalí proudení tekutiny a vzroste tlak. Tím se malá bublina stále zvětšuje. Znáte to třeba při nafukování balónku, když se na jeho povrchu objeví zeslabené místo a bublina, napíná se o to rychleji a pak praskne.
A právě tohle se stane při aneurysmatu. Statisticky 5 procent lidí má při narození založeno aneurysma, někteří i vícenásobně.
Pokud praskne aneurysma, je to velký průšvih. Hadice krevní tepny je totiž ve volném prostoru a krev se rozlije do subarachnoidálního prostoru. Prvním příznakem je prudká bolest hlavy, lidé říkají, jako by "v hlavě opravdu něco prasklo" Pokud mají štěstí, dostanou se rychle k lékaři a k ošetření. V horším případě se rozvinou obrny, záchvaty, poruchy vědomí. Takové aneurysma musí být urychleně ošetřeno, protože pokud jednou prasklo, a nemocný to přežije, pak praskne i podruhé a každé další krvácení je obvykle horší než to první. Aneurysma se může uzavřít operačně, dříve jej neurochirurgové uzavřeli klipem. Dnes je v módě používat elegantní zákroky zavřenou cestou, kdy se aneurysma uzavře speciální spirálkou, která jej vyplní tromby, a přestane tak škodit, nebo se založí stent.
Ale ani takový nemocný nemusí mít vyhráno. Proběhlé krvácení vede k řadě možných komplikací, od spazmů cév k rozvoji hydrocefalu. Je to komplexní problematika a zájemce raději odkážu na příslušnou literaturu nebo webové stránky.
Subarachnoidální krvácení z aneurysmatu je celkem časté, je velmi nebezpečné, někdy může být zaměněno s obyčejnou migrénou nebo blokádou krční páteře, a vést k fatálním důsledkům pro nemocného i pro lékaře, který jej včas neodhalil a léčil brufenem.
Pokud aneurysma praskne, musí být ošetřeno, protože takové praskne i podruhé a potřetí. Pokud ale nepraskne, může dělat potíže, že se stále zvětšuje a časem může začít tlačit na nějakou nervovou strukturu a projevit se takto. Zvláštní kapitola jsou aneurysmata, která byla odhlalena náhodou. Protože riziko, že někdy v životě mohou prasknout a způsobit fatální krvácení, je nezanedbatelné, je dnes trend je preventivně ošetřovat.
Mám jakousi smůlu. Už se to opakovaně stalo, kdy se profesor osopil zrovna na mne, jako bych mohl ovlivnit rozhodování jiných či nesl odpovědnost. Připadám si jako žáček, který nepřinesl domácí úkol. Když totiž nemám brýle, sedám v první řadě, abych neviděl na plátno až tak rozmazaně, a to je asi chyba. Měl bych se schovat do kouta. Nebo možná pod židli.
"Mělo se to aspoň zkusit", trvá profesor na svém. "Teď to prasklo a zakrvácelo. Jak se té paní daří? Ještě žije?"
Přítomný primář neurochirurgie se zeptal: "Byla tato pacientka s námi konzultována?"
Proč jsem agresívní? Protože jsem měl už všeho plné zuby...
--------
Avšak zanedlouho mě oslovil neurochirurg. Byl to mladý kolega, arabského etnika: "Paní s rozsáhlým krvácením subarachnoidálním, počínající městnání v komorách. Měla by být operována."
Jasně. Při takovém krvácení se zavede do mozkové komory dren. Není to těžký zákrok a trvá něco přes půl hodiny, navrtá se lebka a nasonduje odstup. Drenem se dá odvádět mozkomíšní mok, kontrolovat jeho tlak a snižovat dle potřeby a občas se experimentálně dávala látka k rozpouštení trombů, pokud se z krve tvořily sraženiny.
V tomto výroku je trocha medicíny a více politiky. Naši neurochirurgové v poslední době odmítají přijmout někoho, kdo by nebyl určen k operaci. Má to sice svou logiku, ale dosud se starali o bolesti páteře a kořenové syndromy, stavy, které třeba nebyly na operaci, ale způsobovaly svým nemocným dost utrpení. Teď je více méně neochotně přebrali ortopedové a urazová chirurgie. Dobré to ale není.
Nic jiného mi nezbývá. Je to práce navíc, vypsání všech papírů, ale u nemocné nalezené v bezvědomí, která již byla kompletně vyšetřena, to jde celkem rychle. Zavolám svým sestřičkám na stroke: "Přijde paní na monitor. Je ale v komatu a více méně beznadějná....bude s ní práce." Práce. Polohování, mytí, hygiena a tak. A věru je to opravdu práce těžká.
Nezbývá mi než taky vzít telefon a volat dceru nemocné. "Víte, Vaše maminka utrpěla těžké krvácení do mozku. Pokud je mi známo, nepřála si operaci. A teď se ukázala další komplikace. Vaše maminka má k tomu Covid. Takže její stav je o to vážnější.
Lež jako věž, paní má jen záchyt v testu, na její stav to nemá vliv. Je pravda, že ten je beznadějný tak jako tak. Ale na příbuzné to oznámení o COVIdu udělá dojem. Takže hned dostanu jejich souhlas.
"Maminku neumístíme do monitorovaného pokoje, ale na zvláštní pokoj, kde dožije svoje dny. Budeme ji doprovázet, dostane tekutiny a tišení bolesti...
Ani to nebude pravda. Nemocná bude dožívat na dvoulužáku za plentou, s podobně postiženou. S unavenými frustrovanými ošetřovatelkami, které nebudou mít čas, při péči o dalších deset a více podobných případů. Bude se potácet na hranici života a smrti ještě tři noci.
A tím se dostáváme na začátek. Muselo tak býti? Profesor je přesvědčen, že kdyby bylo toto aneurysma řádně a včas ošetřeno, možná by ještě byla tady mezi námi.
O tom aneurysmatu se vědělo od roku 2018. Byl to tenkrát náhodný nález, nemocná s ním neměla potíže. Zajímalo by tedy i mne, proč byla taková věc ignorována. Intervence byly už v té době na vysoké úrovni. Samozřejmě aneurysma v takovém místě není jednoduché ošetřit a hrozí komplikace. Například, že se při výkonu ztrombotizuje a uzavře některá z hlavních tepen. Pokud by se to stalo právě na bazilární tepně, nemocná by to nejspíš nepřežila a pokud ano, tak jako vrak. Že by strach z komplikace vedl k tomu, že se nález raději nechal na pokoji? Nechtěla sama nemocná na operaci? Nebo tak rozhodli příbuzní? Tím ji sice odsoudili, že bude mít v hlavě časovanou bombu. Nebo jí taky darovali 4 roky života, kdo ví?
Nebo se to prostě přehlídlo a zapomnělo?
Z dokumentace to nějak nevyplývá, nález je popsán bez dalšího komentáře. Kolegyně sice prohlásila, že nález byl hodnocen jako inoperabilní (neléčitelný, neopravitelný), v dokumentaci se to ale takto nepíše.
Zeptat se příbuzných, zda o tom věděli? Asi věděli, ale nevím, zda byla probrána možnost zákroku. Každopádně ptát se nebudu. Mohlo by to vzbudit nepříjemné otázky. Lepší to už teď nechat spát...



.png)




Komentáře
Okomentovat