Omyl XIII (málem) - Endokarditida
17.11. je pro mne prostě svátek svobody. Svobody informací, že můžeme číst, co chceme, a dívat se na to, co chceme, cestovat, kam chceme. Že každý může dělat, co zákon nezakazuje, a nikdo nesmí být nucen dělat, co nějaký zákon vysloveně nepřikazuje, jak je psáno v deklaraci práv a svobod. A i když jsou snahy tu svobodu ostrouhávat, pořád je to daleko lepší, než si pamatuji na střední škole za totáče. Těch, jež nám chtějí svobodu vzít, těch se bojme.
Svým vzpomínkám a názorům jsem v minulosti věnoval několik článků, klidně se k nim můžete vrátit, a možná se zase rozepíšu napříště. Protože tentokrát jen tento malý podčarník (tedy nadčarník?) a dál se budu pro změnu věnovat zase jen práci.
--------------------------------------------------------------------------------------------------
Říká se, že na jeden průšvih připadá deset situací, kdy průšvihu bylo v poslední chvíli zabráněno. V dobrém krizovém managementu se právě tyto skoroprůšvihy analyzují a berou si z nich poučení, anebo se přijímají opatření. Dokonce se mohou krizovému managementu anonymně oznamovat. Jde o prevenci skutečných průserů, nejde o to, hledat viníka.
O jednom takovém málemprůseru, který by mohl vést k pochybení, chci nyní psát. Přímo jsem se na něm podílel. Pochází z nedávné doby.
Někdy se vyplatí stát si za svým a nedat se zviklat zavádějícími informacemi nebo i názory jiných kolegů, včetně nadřízených. Přece jen nedělám tu práci od včerejška a často se stalo, že můj odhad byl nakonec správný, ač mne jiní přesvědčovali o opaku. Více nebo méně nevybíravě a právě můj poslední šéf má tu vlastnost, že přesvědčuje spíše více nevybíravě. Takže o co šlo.
Pán Z. byl zrovna asi čerstvý sedmdesátník. Nevyhledával doktory, na preventivky nechodil, tak ani nemohl vědět, že jeho krevní tlak je vzdálen optimálních hodnot. Alkohol moc nepil, to bylo dřív, ale kouřil poněkud moc, dva paklíky za den byla skoro norma. Byl vysoký, štíhlý - až bych řekl hubený, a jak jsme se dověděli, v poslední době zhubnul ještě víc. Přitom jíst mu chutnalo. (tento detail se později ukázal jako významný). V takovém stavu se nakonec dostal k nám.
Nechtěl, ale přivezla jej záchranka, zavolaná jeho rodinou - manželkou a dětmi. Prý je zmatený. Jenže již vstupní vyšetření poměrně mladou kolegyní na příjmu ukázalo, že není zmatený, ale že trpí perceptivní afázií. Tedy poruchou rozumění.
Nevím, zda jsem už o tom psal. V mozku, obvykle v levé - dominantní - hemisféře (jen někteří leváci to mají jinak) jsou centra pro řeči. Je jich více, ale zjednodušeně řečeno, jsou dvě hlavní. První z nich, poněkud vepředu, se nazývá Brocovo centrum řeči. To je - zjednodušeně - to místo, kde se myšlenky kódují do slov a vět. Pokud je poškozeno, takový nemocný může rozumět, ale - v nejhorším stavu - je němý. Tomu se říká Brocova - taky expresívní nebo motorická afázie. Při lehčích poruchách trochu připomíná člověka, který se snaží mluvit v cizím jazyce, který moc neovládá. Nepamatuje si, jak se co řekne, těžko hledá slova, zaměňuje je a zakoktává se. Poněkud vzadu je druhé centrum, tzv. Wernickeovo centrum řeči. Tam se -zase s velkým zjednodušením - děje opačný proces. Zvuky a hlasy se zde rozkódavají do myšlenek. Je to tedy spíše centrum rozumění a jeho porucha způsobuje Wernickeova - tedy perceptivní, taky sensorická afázie. Pamatuji si, jak nám na přednášce z neurologie tuto poruchu vysvětloval profesor Urbánek z Olomouce: "Někdo říká, že je to asi jako by všichni najednou kolem vás začali mluvit čínsky. Nebudete jim rozumět, jako by mluvili cizím jazykem. Já bych to upřesnil - představte si, že jste najednou v Číně a všichni kolem vás mluví čínsky, vy se pokoušíte s nimi domluvit svahilsky a ani jeden z těchto jazyků neovládáte, ale vůbec vám to nedochází." To je totiž neštěstí pacientů, která se těžko představuje, ž mohou mít anosognosii, tzn. neuvědomění si poruchy. takový nemocný pochopí, že se s ním něco děje, ale neví co, nerozumí tomu.... neuvědomuje si, že nerozumí řeči.
Opravdu, s horší poruchou mluví nemocný vyslovené nesmysly, až to, čemu se říká slovní salát. U lehčích poruch je taková komunikace omezena, nemocný jako by nerozuměl. Na otázku na jméno a věk odpoví něco jako třeba: "jo, to bylo dobrý". Na laiky a neznalé může dělat zmatený dojem. Avšak, jeho chování je zcela racionální, pokud uvážíme, že třeba nerozumí a neví o tom. Někdy se takoví nemocní rozčilují, že jim okolí nerozumí nebo že nerozumí jim a potřebují zklidňující léky. Takovou poruchou trpěl i náš nemocný pan Z.
Existují další typy afázie. Nejzávažnější je globální afázie - nejčastěji při poruchách celé hemisféry jsou poškozena obě centra. Jakákoliv komunikace a rozumění je pak ztracena. Takový nemocný není dementní, ale jako by nikdy neznal žádnou řeč. Pak existují přechodné typy, kdy je třeba porušeno spojení mezi oběma centry. U některých typů třeba nemocný dovede vyprávět spontánně, ale neumí opakovat slyšené a číst, anebo naopak.
Protože potíže trvaly už nějakou dobu, asi tři dny, než se k nám dostal, a na vstupním tomografu byl již rozpoznat stín odpovídající rozvíjející se mrtvici. Její umístění v levé hemisféře, poněkud vzadu, a krásně to sedělo k potížím poškození centra rozumění. Zatím vše vypadalo jako rutinní záležitost. Ač je to kruté, denně přijde aspoň jeden či dva takový nemocný s podobnými potížemi. A většinou to ale dopadne dobře, poleží si, porucha řeči se obvykle více nebo méně dobře spraví, a pak objednáme rehabilitaci... i tento nemocný měl celkem dobré vyhlídky. Ze začátku to tak tedy vypadalo.
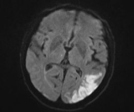
Jenže obraz se často mění a velmi často k horšímu. A u našeho pána se objevily hned dva problémy. Noční zmatenost, neklid, že musel být zklidněn léky, naštěstí nebylo třeba jej kurtovat. Delir. Mysleli jsme zase na alkohol, tedy odvykací stav, ale manželka našeho pacienta to odmítla. Kouřit, to ano, ale alkohol asi ne. K tomu se objevily teploty. A na magnetické rezonanci, kterou skoro u každého nemocného doplňujeme, se objevil takový obrázek. Takže to nebyla taková jednoduchá mrtvice, spíš to vypadalo, že postižená je velká část mozku. Pokud je hodně ložisek mrtvice, je nejčastější příčina v srdci.
Bílá místa jsou areály poruchy prokrvení, tedy mrtvice, v zobrazení DWI na magentické rezonanci.
![]() |
V srdci se vytvoří sraženina, trombus, který je pak krevním proudem zavlečen někam do těla. Největší škody dělá právě, pokud je zavlečen do mozkových tepen a některou nebo některé ucpe. To je častý mechanismus mozkové mrtvice, až čtvrtina všech. A příčina toho, že se v srdci tvoří tromby, je nejčastěji porucha rytmu, fibrilace síní, která vede k tomu, že se srdeční síně špatně a pomalu vyprazdňují, krev v nich městná a tvoří sraženiny. Aspoň starší představa to tak vymalovala, protože víme, že se dá snížit pravděpodobnost mozkové příhody, jsou-li takoví nemocní léčení léky snižující krevní srážlivost.
Dřív se používal warfarin nebo pelentan, a v Německu phenprocoumon (původně jed na krysy, působící pomalu a zákeřně, proto na chytré krysy účinný), se všemi nevýhodami, ke kterým patřila hlavně potřeba pravidelně kontrolovat krevní srážlivost a nemocné trápit neustálými krevními odběry. Dnes již máme modernější, taky dražší léky, které jsou ale bezpečnější a nepotřebují neustálé kontroly.
No jo, ale náš nemocný poruchu srdečního rytmu neměl. Na monitoru stále pravidelný rytmus, a to včetně automatického software, jež poruchy rytmu detekuje. A když k tomu přidám teploty, a v laboratoři zvýšení zánětlivých markerů (taky už dostal antibiotika), hrozí druhá možnost - endokarditida. Na srdečních chlopních se uchytily bakterie. Na koloniích bakterií se tvoří tromby a ty se pak s proudem někam utrhují a škodí. Je to vážnější možnost, protože může vést krom mrtvic k sepsi nebo trvalému poškození srdce a srdečních chlopní.
Vlastně jsem si byl skoro jist, že se jedná o takový problém. Proto ihned indikuji vyšetření srdce ultrazvukem, echokardiografie, a to včetně transesofageální echokardiografie (TEE) To je vyšetření, při kterém musí nemocný ultrazvukovou sondu spolknout. Srdeční chlopně a předsíně jsou totiž lépe zobrazitelné zezadu a při běžném vyšetření sondou přes hrudní stěnu může být endokarditida přehlédnuta.
Podepsaný formulář pak dokazuje, že nemocný byl informován. Samozřejmě, neplatí vše absolutně, pokud se najde šikovný advokát, může i zpochybnit poučení - nemocný prý nerozuměl nebo nevěděl, co podepisuje.
Další den mělo vyšetření proběhnouti. Pacient se přece jen zlepšil, teploty po antibioticích ustoupily, ustoupil i delir - náš nemocný sice nadále nerozuměl, ale už nebyl tak zmatený, neměl potřebu utíkat. Vše vypadalo být na dobré cestě. Jenže transesofageální echokardiografie nakonec provedeno nebylo. Příslušný kardiolog provedl jen základní vyšetření přes hrudní stěnu, sepsal základní nález, který byl v pořádku, a poznámku, že TEE nelze provésti, neboť nemocný není dostatečně poučen. Z papírů nevyplývalo, že je poučena i manželka. Inu, podle mého osobního názoru si to prostě udělal jednodušší, nepříjemné náročné vyšetření se mu nechtělo dělat, tak podle litery "Kdo chce, hledá cesty a kdo nechce, hledá výmluvy" se na to prostě s výmluvou vy...kašlal. Pak se ukázalo, že tohle zdržení mohlo mít nepříjemné následky.
Protože byl zrovna pátek, další vyšetřování bylo přesunuto až na další týden. Jenže v pondělí se náš nemocný nevešel do programu. A pak byl den svátek.
Ve stejný den jsme měli rentgenovou vizitu. Na společném sedánku s radiologem procházíme všechny rentgenové snímky. A tedy došli jsme i na rentgenové obrázky našeho pána Z. Znovu prohlížíme CT, magnetickou rezonanci, i angiografie, zobrazení tepen, které bylo provedeno hned při přijetí. Cévy se zdají být v pořádku, ale na zobrazeném úseku plic se radiologovi při druhém, podrobnějším pohledu něco nelíbí. "Má tam zvětšené uzliny", popisuje. "Mohl by to být plicní nádor. Ovšem z této projekce těžko říci. Doporučuji doplnit cílené CT plic."
Byl zrovna pátek, takže i cílené vyšetření plic jsme plánovali na další týden. O víkendu se moc neděje, budeme řešit jen naprosto urgentní věci. Ale jak bylo zmíněno, ten týden byly i svátky a volné dny, což vedlo k dalšímu zdržení. Protože ani v pondělí se plánované vyšetření neuskutečnilo, jak jsem již napsal. Nebylo ani v úterý, protože byl svátek. A ani ve středu.
Zato se v pondělí konečně uskutečnilo plánované CT plic. A ukázalo se, že náš nemocný bohužel trpí pokročilým plicním nádorem, už s lokálními metastázami, navíc nepříznivě lokalizovaným centrálně nedaleko hlavních bronchů, a zjevně inoperabilním. Takže jej čeká vyšetřování na plicním oddělení, bronchoskopie, a pak plánování, zřejmě ozáření a nějaká chemoterapie.
"Takže jeho mnohočetné mozkové ischémie (mrtvice) asi souvisí s tím plicním nádorem", zněla následná pochopitelná úvaha. Malignity vedou k zvýšené náchylnosti k trombózám a i cévním příhodám. "Takže nemocného ušetříme zátěžového vyšetření TEE a odvoláme jej, stornujeme."
"Ne, nevadí, pokud se nepřihodila nějaká nepředvídanost. Nakonec, není to špatně, původně jsme to chtěli dělat. Aspoň bude nějaká endokarditida ze stolu."
Nebyla. O pár chvil později jsem v počítači četl nález kolegy: "Vegetace postihující mitrální i aortální chlopeň...insufizience...nedomykavost..." Těžký nález endokarditidy.
A tak se i stalo. Rychlým sepsáním překladové zprávy mé povinnosti k tomuto nemocnému skončily. Mohl bych mít pocit dobře vykonané práce, nakonec i můj nadřízený s pochvalou uznal, že jsem správně myslel na endokarditidu od samého začátku.
Bohužel, happy end se ani zde nekonal. Happy end bývají, ale jsou opravdu vzácné. Pana Z. jsem pak potkával na chodbě. Z mrtvice se celkem vylízal, porucha rozumění se dobře spravila, mohl v pohodě komunikovat i rozumět. Takže jsme se i párkrát dali do řeči. Obvykle s sebou vláčel stojan s infuzí antibiotik, které u něj internisti střídali, a obávám se, že chodil zase ven kouřit. Chtělo by se říci: "Teď už to je jedno, když už dostal tu plicní rakovinu a ke všemu má zničené chlopně, toho měl nechat před 15 lety."
Ale pak o jednom víkendu zmizel a já se pak dověděl, že náhle zemřel. Akutní srdeční selhání, chvíli reanimován, ale neúspěšně. Takže neunikl svému osudu. Jenže tohle byl jeho osud, se kterým se asi nakonec nedalo nic dělat. Nebylo to v důsledku nerozpoznané endokarditidy a tedy pochybení.











Komentáře
Okomentovat